27 abril 2018
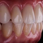
A técnica All-on-4 possibilita realizar o tratamento com implantes dentários sem a necessidade de se realizar enxertos ósseos, em qualquer idade, inclusive para aqueles pacientes que já perderam as esperanças de ter um sorriso bonito.
Através de pequenas modificações, tornou-se possível eliminar os enxertos ósseos e reduzir o tempo de tratamento de 1 ano na técnica convencional para 2 a 3 dias com a técnica All-on-4.
Assim, de modo seguro, rápido e eficiente o paciente tem de volta a plenitude da função mastigatória e o prazer de realizar coisas simples, como morder e mastigar uma maça ou degustar um churrasco.
Além disso, toda a beleza do tratamento, os novos dentes e um lindo sorriso, tudo isso melhora muito as condições psicológicas do paciente possibilitando a recuperação da autoestima e da alegria de sorrir.
E agora tudo isso pode ser feito em Botucatu, com um dos profissionais mais bem capacitados no mundo, referência neste tipo de tratamento, com várias publicações científicas e palestras em eventos direcionados a este assunto: Dr. Abílio Coppêde.
Através desta parceria entre a Ortoface-Botucatu e Sculpere Odontologia e Arte a Técnica, de Campinas/SP, Botucatu agora dispõe de uma das primeiras equipes no mundo a utilizar esta técnica, que foi desenvolvida na Europa há mais de 10 anos e vem sendo utilizada e pesquisada, com altíssimas taxas de sucesso.
Acompanhe o vídeo explicativo nesse link https://youtu.be/N3w3Uo2XslY
Compartilhe esta notícia





































